India
Rare vultures found in Cambodia
Researchers have discovered slender-billed vultures and scores of other endangered birds in Cambodia.
Pak police arrest 2 for Hindu's murder
Pakistan police have arrested two persons for the kidnapping and murder of a Hindu businessman in Sindh.
5,000 years on, couple still hugging
Archaeologists in Italy have discovered a couple buried 5,000 to 6,000 years ago, hugging each other.
Sanjay Dutt's bail extended by a day
The Special TADA court extended the bail to Bollywood actor Sanjay Dutt by one more day till 1300 hrs on Thursday.
Look who'll sip hot Koffee with Karan
Karan Johar brings Konkona SenSharma, Kunal Kapoor and Riteish Deshmukh for the first episode of second season.
Bush budget puts Democrats on edge
US President George W Bush has proposed a Budget of nearly $3 trillion for 2008.
Violence erupts again in Nandigram
There have been fresh clashes between land eviction resistance committee members and CPM cadre in Nandigram.
Love thy neighbour? Better marry him
There is hardly any house in a Rajasthan village that has a son-in-law or daughter-in-law from outside the village.
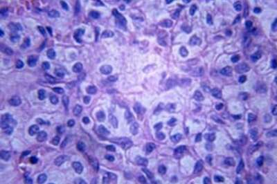
Lab disaster leads to new cancer drug
PPAR-gamma modulator would never normally have been thought of as a cancer drug, or in fact a drug of any kind.
ULFA denies issuing threat to media
The ULFA clarified that it did not issue any threat to the media in Assam as alleged by the Brussels-based IFJ.
Powerful bomb blast rocks Assam
Ahead of the National Games in Assama powerful bomb exploded in front of Guwahati's police station in Panbazar.
No Kidding! J Lo wants to have babies
After playing stepmother to her husband Marc Anthony's three children, Jennifer Lopez now wants to have her own kids.
Thackeray lashes out at Prez again
Shiv Sena Supremo Bal Thackeray continued to stand by his controversial statements against President Abdul Kalam.
Passion for cinema
Follow us:WhatsappFacebookTwitterTelegram.cls-1{fill:#4d4d4d;}.cls-2{fill:#fff;}Google NewsFrom Alejandro Gonzalez's Babel to Nikhil Advani's Salaam-e-Ishq,layercake cinema is all over. And so I decided to connect my three stories as well. Here it goes......
Envoy gets the boot for Shilpa quip
Kuldeep Bharadwaj was the spokesman for the Indian high commission in London and had made remarks against an MoS.
President Chavez gets power-puffed
Venezuelan lawmakers have given Chavez new, wide-ranging powers, including powers to legislate by decree.